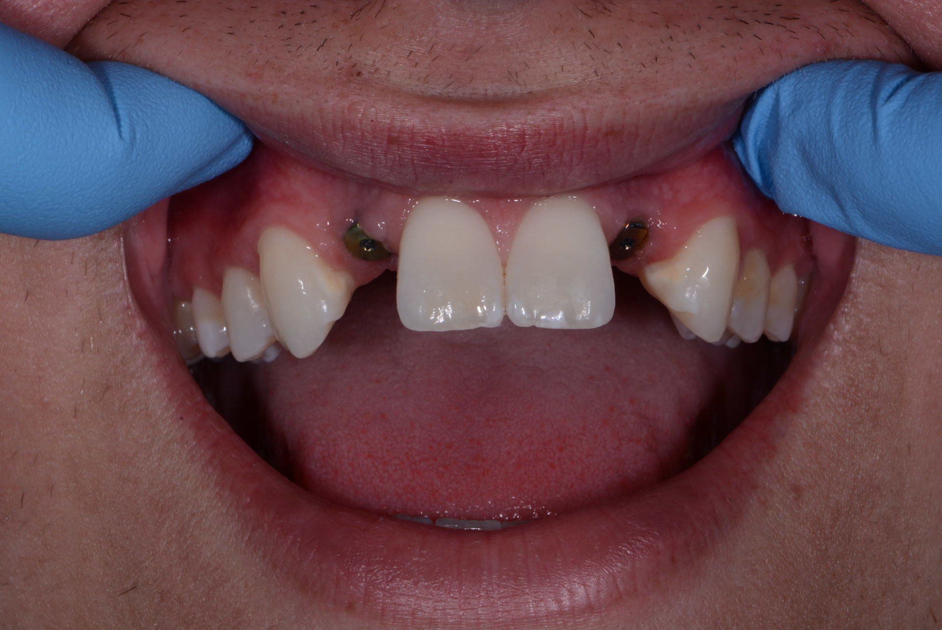
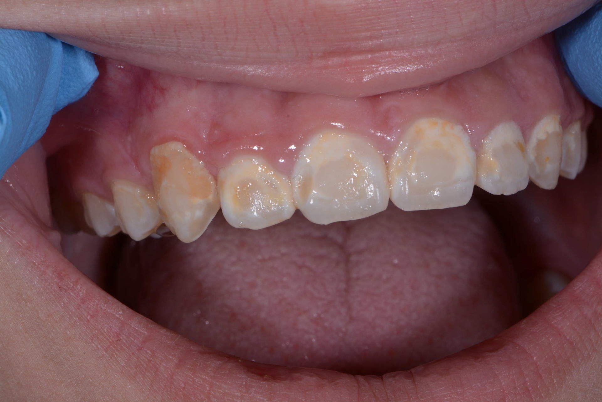
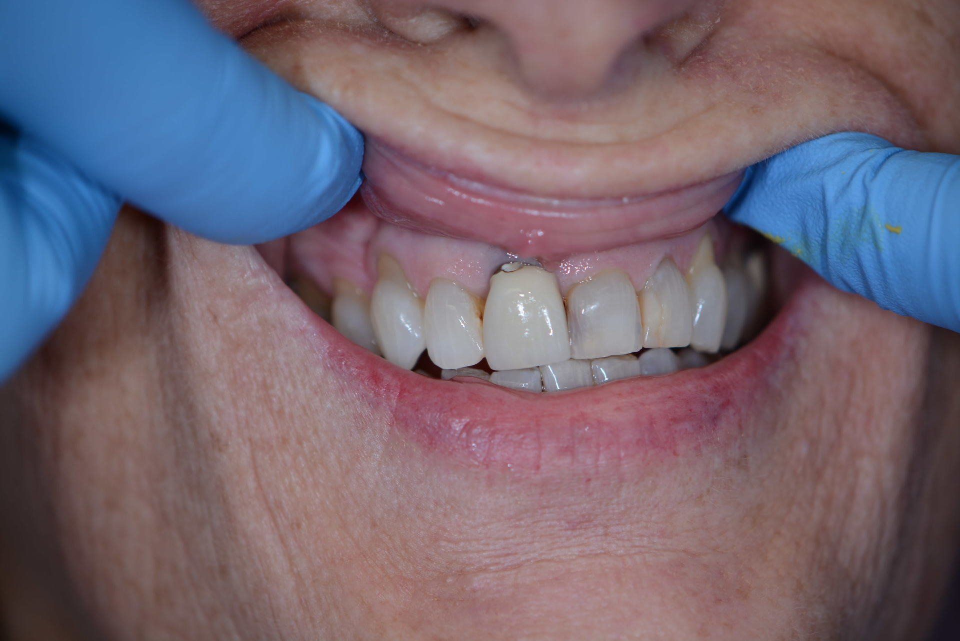
Before and After Photos
Exceptional | Personalized | Dental Care
ExceptionalPersonalizedDental Care
Take a Look at our Before and After Photos
Trust Dewey Family Dentistry to provide you with quality dental care. We provide a wide variety of services from preventative dentistry, restorative
to cosmetic dentistry
and more. Check out our photos below for before and after pictures of our happy clients. Call or visit us
today for more information.

Share On: